오늘은 <대상포진 초기 증상 놓치면 후회! 72시간 만에 치료가 가능?>이라는 제목으로 글을 써보려고 합니다.
글을 읽고 궁금한 것이 있으시면 비밀 댓글 형식으로 질문을 올려 주세요. 가능한 시간에 답변드리겠습니다.
극심한 통증으로 '통증의 왕'이라 불리는 대상포진은 초기 진단과 치료가 무엇보다 중요합니다.
발진이 나타나기 전부터 시작되는 신경통을 놓치면 만성 통증으로 이어질 수 있어 각별한 주의가 필요합니다.
최신 연구에 따르면 72시간 내 조기 치료 시 대상포진후신경통(PHN) 발생률을 현저히 줄일 수 있다고 밝혀졌습니다.
이 글에서는 놓치기 쉬운 대상포진 초기증상과 효과적으로 대처하는 방법에 대해서 자세히 알려드리겠습니다.
1. 대상포진 초기 증상이 맞나?

대상포진의 가장 큰 특징은 발진보다 통증이 먼저 나타난다는 점입니다.
많은 환자들이 초기 신경통을 단순 근육통이나 다른 질환으로 오인하여 치료 시기를 놓치곤 합니다.
1) 발진 전 전조증상 (1-5일 전)
대상포진은 수포가 나타나기 전, 일반적으로 1-5일간 전조증상이 먼저 발생합니다.(10일 이상 되는 경우도 있습니다.)
이 시기의 증상들을 정확히 알아두면 조기 진단이 가능합니다.
- 신경을 따라 퍼지는 날카로운 통증: 찌릿찌릿, 콕콕 쑤시거나 타는 듯한 통증이 몸의 한쪽 면에만 나타남
- 감각 이상: 해당 부위의 저림, 무감각, 또는 과민반응
- 전신 증상: 발열, 두통, 전신 피로감, 오한
- 국소 피부 증상: 가려움, 따끔거림, 화끈거리는 느낌
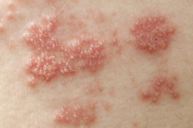
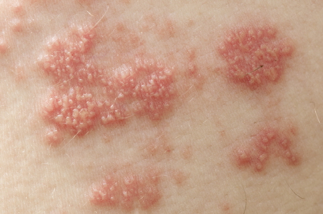
2) 급성기 주요 증상 (발진 시작 후)
발진이 시작되면 대상포진의 특징적인 증상들이 나타납니다.
- 띠 모양 발진: 신경절을 따라 몸의 한쪽에만 나타나는 홍반
- 수포 형성: 2-3일 후 작은 물집들이 무리를 지어 생성
- 극심한 통증: 옷깃만 스쳐도 아픈 정도의 신경병성 통증
- 수포의 변화: 10-14일간 고름이 차고 탁해진 후 딱지 형성
최신 연구에 따르면 조기 진단의 중요성이 더욱 강조되고 있습니다.
발진 전 신경통 단계에서 치료를 시작할 경우 대상포진 후 신경통 발생률을 현저히 감소시킬 수 있다고 보고되었습니다.
2. 적절한 치료 시기는 언제?
대상포진 치료의 핵심은, 발진 발생 후 72시간이 골든타임입니다.
이 시간 내에 적절한 치료를 받으면 감염의 정도에 따라서 1주~3주 이내 회복이 됩니다.
그렇지만 그 치료기간동안 통증에 시달려야 합니다.
그렇다면 하루라도 더 빨리 통증에서 벗어나고 치료를 완료할 수는 없을까요?
오늘 글의 핵심은 지금부터입니다.
3. 대상포진에 감염시 빠르게 치료하고 회복할 수 있는 방법!
1) 대상포진 초기 증상, 즉 대상포진성 통증에 대해 인식하기.(핵심!!!)
* 실제 사례 1) 50대 환자가 옆구리가 아프다고 하면서 진료를 보러 왔습니다.
환자는 10일전부터 좌측 옆구리가 아파서 정형외과를 가서 X-ray를 찍고 이상이 없어서 약을 먹었습니다.
그러나 여전히 통증이 지속되어 복부 CT 까지 찍었지만 원인을 찾지 못해서 내원하였습니다.
그래서 현재의 상태에 대해 자세히 물었습니다.
- 위치가 어디입니까? "좌측 옆구리인데 한쪽만 아픕니다."
- 통증 양상이 어떻습니까? "욱신욱신하게 아프고, 안 아플 때도 있습니다."
- 통증이 처음 발생 했을때 어떤 상황이었습니까?(부딪혔는지, 몸을 많이 사용했는지?) "그냥 특별한 것 없이 한 번씩 아팠습니다."
그래서 아픈곳을 확인해 보니 2일 전까지 없던 발진이 확인되어 대상포진으로 치료를 했었습니다.
* 실제사례 2) 40대 남자분이 허벅지가 아프다고 내원하였습니다.
2일전부터 아픈데 그냥 한 번씩 쿡쿡 쑤신다고 표현했습니다.
아직 피부에 발진이나 수포는 없었습니다.
그래서...
- 어디 부딪혔었는지? "없습니다."
- 과격한 운동을 했었는지? "아니요, 운동을 싫어해서..."
- 수면 자세가 좋지 않았는지? ....를 물어보았는데 특이 사항은 없었습니다.
- 아픈 부위를 눌러보니 압통도 없고...
- 최근에 과로를 해서 많이 피곤한 상태이고 몸살기도 느껴진다고 했습니다.
그래서 통증 양상이 신경통 양상이고 외상등의 특이 상황이 없었기 때문에 대상포진으로 보고 치료를 해보자고 권유하고
대상포진약을 3일치(1일 1회 먹는 약)를 드렸습니다.
3일째 되는날 외래에 오셨는데, "약을 2번 먹고 나니 통증이 없어졌고 지금은 괜찮다"라고 하셨습니다.
* 실제 사례 3) 대상포진 생백신을 접종하신 어르신이 피부가 쿡쿡 쑤시며 아프다고 내원하셨습니다.
통증은 1일전부터 발생했고, 피부에 발진은 없었습니다.
여러가지를 여쭈어 보았지만 특이한 상황은 없어서 대상포진약을 3일만 써보자고 했습니다.
약은 1일 1회 복용하는 것을 드렸습니다.
그 다음 날부터 통증은 호전되었다고 하셨지만 약(3일분)은 다 복용하시라고 말씀드렸습니다.
이상의 사례에서 보듯이 특이적인 통증 발생시,
문제가 될만한 다른 원인이 없다면,
대상 포진을 의심하고 약을 투여할 경우 대상포진이 진행하지 않고 2~3일 내에 증상 치료를 할 수 있습니다.
그러나 약물 투약 기간은 환자의 상태에 따라 결정됩니다.
2) 50세 이상 및 고령층은 <예방 접종하기>입니다.(두번째 핵심!!!)
50세 미만의 젊은 층에서도 대상포진 발병률이 높습니다.
그렇지만 예방백신의 임상 실험이 50세 이상에서 진행되어 50세 미만에서는 대상포진 예방접종을 권유하지 않습니다.
따라서 젊은 분들은 대상포진 발병 시 몸에서 보내는 신호를 빨리 인식하고 병원을 방문하는 것이 최선입니다.
그러나,
50세 이상에서는 대상포진을 예방하고, 발병해도 가볍게 지나갈 수 있는 강력한 무기가 있습니다.
그것이 바로 대상포진 예방 백신 접종입니다.
현재 사용 가능한 백신에는 생백신과 사백신이 있습니다.
두 백신의 큰 차이는 가격과, 접종 횟수, 예방률입니다.
생백신: 조스타박스주와 스카이조스터주
- 접종 연령: 50세 이상
- 접종 횟수: 1회 접종
- 가격: 15만원 전후
- 예방률: 조스타박스의 경우 60세 이상을 기준으로 약 51%의 예방 효과, 스카이조스터 또한 예방률은 비슷.
사백신: 싱그릭스주(Shingrix)
- 접종 연령: 50세 이상
- 2회 접종: 2-6개월 간격으로 근육 주사
- 가격: 2회 40~50만원
- 50세 이상: 97.2% 예방 효과
- 70세 이상: 90% 이상 높은 예방률 유지
- 10년 이상 지속: 장기간 면역 효과 유지
예방 접종을 한다고 대상포진이 발병하지 않는 것은 아닙니다.
그러나 증상이 가볍게 지나가는 경우가 많습니다.
또한 발병 시 초기에 치료하면 회복이 빠릅니다.
예방률을 보면 사백신 접종이 좋고, 가격을 보면 생백신을 선택해야 될 수도 있고...
어느 것을 선택하든 장단점이 있습니다.
그러나 가장 중요한 것은 대상포진 증상에 대한 인식입니다.
대상포진 증상에 대한 인식은 치료 효과를 높이고 통증 및 합병증을 감소시킬 수 있습니다.
마무리를 하겠습니다.
대상포진은 조기 발견과 치료가 핵심인 질환입니다.
초기 신경통 증상을 놓치지 말고,
발진 발생 72시간-골든타임 내에 적절한 치료를 받으시기 바랍니다.
특히 50세 이상이시라면 예방접종을 통해 미리 대비하는 것이 가장 현명한 선택입니다.
의심 증상이 있으시면 지체 없이 전문의와 상담하여 건강한 일상을 지켜나가시길 바랍니다.
긴 글을 읽어 주셔서 감사합니다.